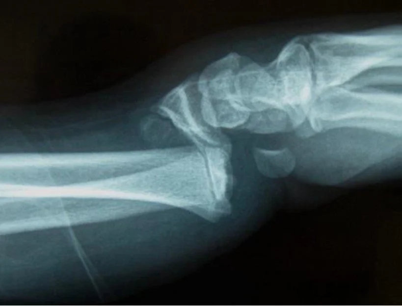
Arthritis Children Congenital Trigger Thumb Childrens Hand Fractures Childrens Wrist Fractures Ganglions Finger Tip Injuries Seymour Fracture