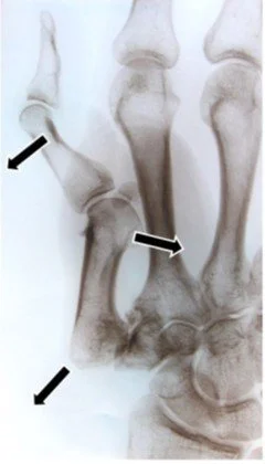
Arthritis

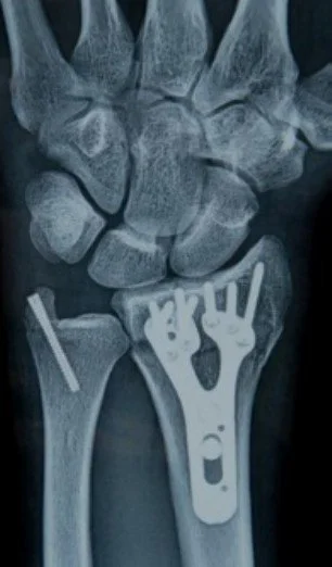
Common Operations